Entregas GRATIS en MTY comprando mas de $400.00
0
Total
$0.00
Aún no envías productos al carrito.
Envío Gratis Todo México comprando Más de $850.00
Etiqueta: Linfoma de Hodgkin
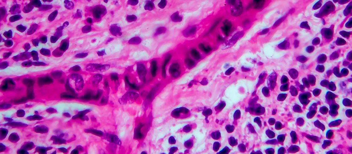
Linfoma de Hodgkin: Entendiendo la Enfermedad y su Tratamiento
Escuchar artículo Introducción En este artículo, abordaremos de manera exhaustiva y detallada el linfoma de Hodgkin, una forma específica de cáncer que afecta el sistema linfático. Nuestro objetivo es proporcionar una comprensión completa de esta enfermedad y su tratamiento, con el fin de brindar información valiosa a los pacientes, familiares y profesionales de la
Categorías
- General (80)
- Herbolaria (141)
- Mensajes Importantes (12)
- Probióticos (10)
- Recetas Saludables (14)
- Salud Digital (2)
- SaludyBelleza (252)
- Tecnología (6)

